收藏 分销(赏)

病理切片考试--最ppt课件.ppt

上传人:胜**** 文档编号:768635 上传时间:2024-03-09 格式:PPT 页数:59 大小:17.34MB 下载积分:11 金币
下载 相关 举报
病理切片考试--最ppt课件.ppt_第1页
第1页 / 共59页
病理切片考试--最ppt课件.ppt_第2页
第2页 / 共59页


点击查看更多>>
资源描述
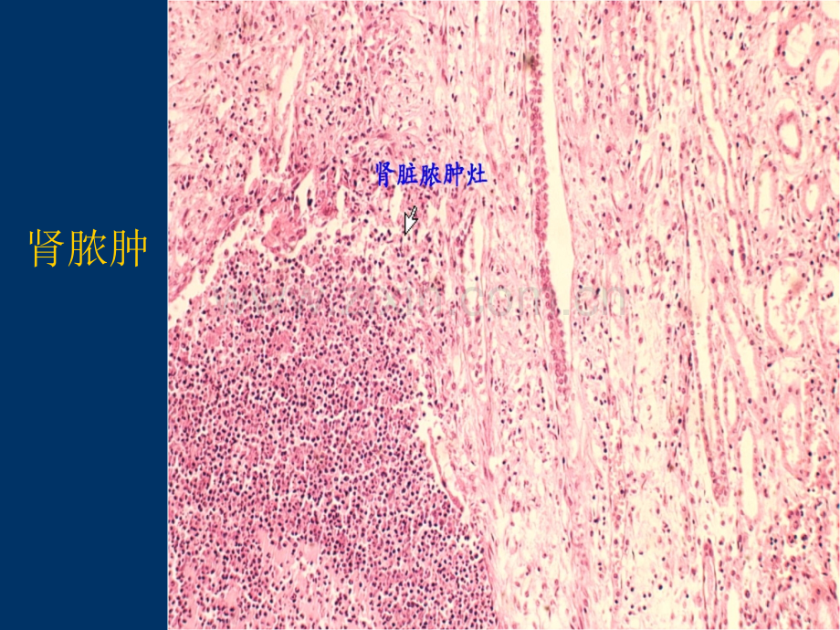
一、一、心肌(褐色)萎缩心肌(褐色)萎缩肾脓肿肝脓肿肝细胞脂肪变性:肝细胞浆内大量脂滴空泡,细胞核被推向一侧。脂滴脂滴空泡空泡肝细胞脂肪变:肝细胞胞浆内出现圆形空泡,细胞肿大。肝脂肪变性干酪样坏死:红染无结构,颗粒状,周围有上皮样细胞干酪样坏死物干酪样坏死物上皮样细胞上皮样细胞肉芽组织:可见纤维母细胞,炎细胞和毛细血管纤维母细胞纤维母细胞炎细胞炎细胞毛细血管毛细血管二、二、慢性肺淤血:肺泡壁增宽,肺泡腔内有心力衰竭细胞肺泡壁增宽肺泡壁增宽心力衰竭细胞心力衰竭细胞肺淤血:肺泡腔内有水肿液红细胞可见心衰细胞肺泡壁扩张充血慢性肝淤血慢性肝淤血(槟榔肝)肝淤血:肝血窦扩张充血肝细胞萎缩坏死小叶周围肝细胞水肿或出现脂肪变性脾梗死混合血栓:粉红色(血小板)与红色(红细胞)交替排列血小板小梁血小板小梁红细胞红细胞混合血栓(这张图比较局限)三、三、急性蜂窝织炎性阑尾炎异物巨细胞反应化脓性脑膜炎:蛛网膜下腔大量脓细胞蛛网膜蛛网膜软脑膜软脑膜脓细胞脓细胞四、四、皮肤乳头状瘤:图中所示为肿瘤的横断面,可见血管纤维轴心,外周是肿瘤细胞,异型不明显轴心轴心瘤细胞瘤细胞鳞状细胞癌:癌细胞巢状排列,中间有角化珠,间质有淋巴细胞癌巢癌巢淋巴细胞淋巴细胞角化珠角化珠大肠腺癌绒癌(绒毛膜上皮癌)肝细胞癌:异型的肝细胞呈梁索状排列,其间有丰富的血窦癌细胞形成的癌细胞形成的梁索梁索血窦血窦肝癌腺癌:异型的肿瘤细胞排列呈腺管状,浸润至平滑肌之间。平滑肌平滑肌腺癌组织腺癌组织五、乳腺纤维性瘤:细胞异型性小,结缔组织围绕腺管排列乳腺纤维腺瘤平滑肌肉瘤:部分瘤细胞梭形,局部可见病理性核分裂像,细胞异型明显梭形瘤细胞梭形瘤细胞病理性核分裂像病理性核分裂像骨肉瘤骨肉瘤乳腺实体癌乳腺实体癌乳腺实体癌乳腺实体癌乳腺实体癌乳腺实体癌六、六、冠状动脉粥样硬化:内膜增厚,可见纤维帽和大量胆固醇结晶。纤维帽纤维帽胆固醇结晶胆固醇结晶中膜中膜内膜内膜风湿性心肌炎:心肌之间,血管旁可见风湿细胞聚集形成风湿小体。心肌心肌血管血管风湿小体风湿小体风湿性心肌炎:有风湿细胞积聚风湿小体高血压病肾七、七、大叶性肺炎:肺泡腔内充满大量纤维素肺泡腔肺泡腔纤维素纤维素大叶性肺维炎:病变弥漫肺泡腔有大量纤素,中性粒细胞渗出大叶性肺炎小叶性肺炎:细支气管及所属的肺泡腔内充满大量中性粒细胞肺泡腔肺泡腔细支气管细支气管小叶性肺炎:病变成局灶性,肺泡有脓性渗出,上皮脱落,肺泡壁有炎症细胞浸润小叶性肺炎慢性胃溃疡病溃疡病:可见坏死组织、炎性渗出物合肉芽组织炎性渗出物及坏死组炎性渗出物及坏死组织织 肉芽组织肉芽组织 门脉性肝硬变肝硬化:肝细胞排列紊乱,形成假小叶,周围有的纤维分割假小叶假小叶 纤维分割纤维分割 门脉性肝硬化:肝小叶破坏假小叶形成,胆管增生八、八、急性弥漫性毛细血管内增生性肾小球肾炎:毛细血管球增大,细胞数目增多,肾小球囊腔狭窄肾小管肾小管 毛细血管球毛细血管球肾小球囊腔肾小球囊腔急性肾小球肾炎新月体肾炎:肾小球囊壁层上皮增生形成新月体,肾小球囊腔狭窄,毛细血管球受压球囊腔球囊腔新月体新月体毛细血管球毛细血管球慢性硬化性肾小球肾炎:部分肾小球扩张肾小管消失间质纤维化部分肾小球体积扩大肾小管扩张慢性肾盂肾炎九、九、流行性乙型脑炎:可见筛状软化灶筛状软化灶筛状软化灶肺结核:干酪样坏死朗格汉斯细胞类上皮细胞增生肺结核病:可见结核结节肺泡肺泡结核结节结核结节Langhans巨细胞:细胞体积巨大,多个细胞核,分布在细胞周边,呈U形淋巴细胞淋巴细胞巨细胞巨细胞肠伤寒
展开阅读全文

开通  VIP会员、SVIP会员  优惠大
下载10份以上建议开通VIP会员
下载20份以上建议开通SVIP会员


开通VIP      成为共赢上传

当前位置:首页 > 行业资料 > 医学/心理学

移动网页_全站_页脚广告1

关于我们      便捷服务       自信AI       AI导航        抽奖活动

©2010-2026 宁波自信网络信息技术有限公司  版权所有

客服电话:0574-28810668  投诉电话:18658249818

gongan.png浙公网安备33021202000488号   

icp.png浙ICP备2021020529号-1  |  浙B2-20240490  

关注我们 :微信公众号    抖音    微博    LOFTER 

客服