收藏 分销(赏)

线正常解剖.doc

上传人:天**** 文档编号:4357233 上传时间:2024-09-12 格式:DOC 页数:21 大小:1.70MB 下载积分:10 金币
下载 相关 举报
线正常解剖.doc_第1页
第1页 / 共21页
线正常解剖.doc_第2页
第2页 / 共21页


点击查看更多>>
资源描述
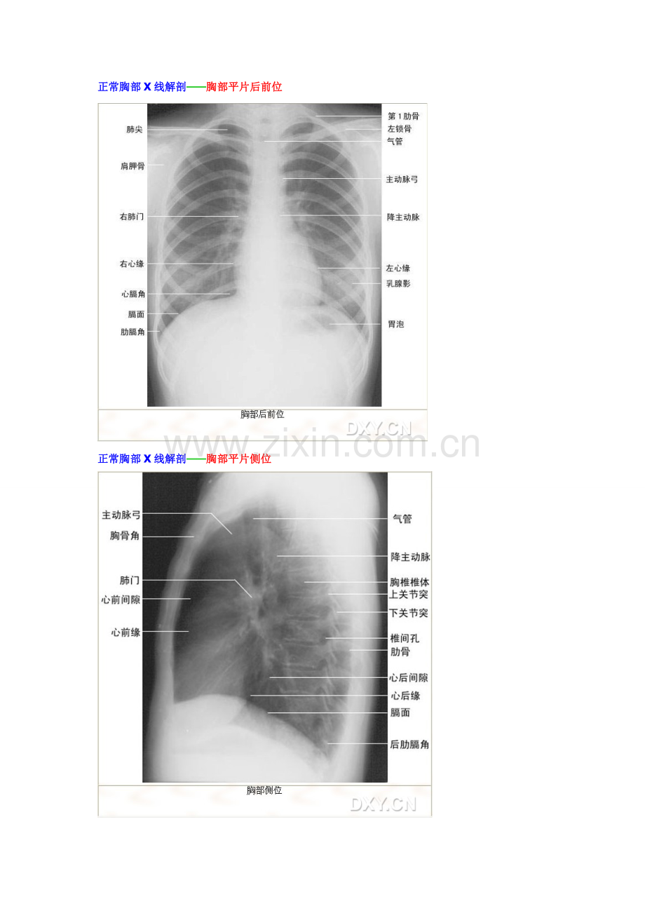
X线正常解剖(基础+精华) 正常头颅X线解剖——头颅平片后前位 正常头颅X线解剖——头颅平片侧位 正常胸部X线解剖——胸部平片后前位 正常胸部X线解剖——胸部平片侧位 正位胸片10大观察死角及影像观片原则 1、颈部:颈部软组织肿块(如甲状腺肿块); 2、肺尖、第1肋骨:如肺上沟癌,第1肋骨骨折、破坏等,要注意两侧对比; 3、锁骨胸骨端、胸锁关节、胸骨:锁骨胸骨端骨质破坏,胸锁关节半脱位,胸骨骨折等; 4、锁骨尖峰端、锁骨外1/3:此处骨折或骨质破坏易漏诊; 5、肩胛骨:骨折或骨质破坏易漏诊; 6、肋骨腋缘、前肋:无错位骨折易漏诊,肋骨腋缘胸膜反应就是提示骨折得重要征象; 7、胸椎:在投照条件较低得胸片,肿瘤、结核易漏诊,注意观察椎体形态及有无椎旁软组织影,要注意对侧位得观察; 8、心影后:在投照条件较底得胸片,病灶易漏诊,要注意对侧位得观察; 9、肺门:肺门较小得肿块有时需与扩张得肺动脉、左肺动脉弓鉴别; 10、膈下:急腹症及外伤照胸片要注意膈下游离气体。 影像观片原则:总体印象、分部观察、注意死角、左右对比、前后对照。 正常上肢X线解剖——肩关节平片前后位 正常上肢X线解剖——肘关节平片正、侧位 、、 正常上肢X线解剖——腕关节平片正位 正常上肢X线解剖——腕关节平片侧位 正常下肢X线解剖——膝关节平片正、侧位 正常下肢X线解剖——踝关节平片正位 正常下肢X线解剖——踝关节平片侧位 正常下肢X线解剖——足平片正、斜位 正常脊柱X线解剖——颈椎平片前后位 正常脊柱X线解剖——环、枢椎平片张口位 正常脊柱X线解剖——颈椎平片侧位 正常脊柱X线解剖——颈椎平片斜位 正常脊柱X线解剖——腰椎平片正位 正常脊柱X线解剖——腰椎平片侧位 腰椎正位10大观察死角: 1、椎弓根:骨质破坏时,注意两侧对比。 2、上下关节突:怀疑强直性脊柱炎时更应注意。 3、横突:骨折、骨质破坏 4、腰大肌影:冷脓肿 5、下位肋骨:骨折 6、骶骨、骶孔:骨质破坏或骨折时,注意两侧对比。 7、骶髂关节:怀疑强直性脊柱炎时更应注意。 8、胆囊结石 9、肾影、肾结石 10、输尿管结石 腰椎侧位5大观察要点: 1、椎体边缘:骨质破坏时椎体边缘模糊不清。 2、椎间隙:结核常有椎间隙改变。 3、椎体后缘弧线:注意有无脊柱不稳。 4、棘突 5、椎体后缘软骨结节。 建议我们养成良好得观察顺序: 正常消化道造影X线解剖——食管钡餐造影 正常消化道造影X线解剖——胃、十二指肠钡餐造影:粘膜像 正常消化道造影X线解剖——胃、十二指肠钡餐造影:充盈像 正常消化道造影X线解剖——小肠钡餐造影 正常消化道造影X线解剖——钡灌肠:粘膜像 正常消化道造影X线解剖——钡灌肠:充盈像 正常静脉肾盂造影X线解剖——腹平片(KUB) 正常静脉肾盂造影X线解剖——静脉肾盂造影(IVP) 正常子宫输卵管造影X线解剖 骨盆平片:成年女性骨盆与髋部,前后位X线片。 1. 髂前下棘;2、骶前孔;3、髂前上棘;4、耻骨体;5、髂窝骨化中心;6、坐骨结节骨化中心;7、髂窝;8、髂骨;9、耻骨下支;10、坐骨支;11、坐骨棘;12、闭孔;13、耻骨联合;14、骶窝;15、骶髂关节;16、尾骨节段;17、耻骨上支;18、耻骨结节 内镜逆行胰胆管造影(ERCP)与磁共振胰胆管造影(MRCP) 1、胆总管;2、肝总管;3、胆囊管;4、十二指肠内得内镜;5、胆囊;6、肝胰壶腹;7、肝左管;8、胆囊颈;9、胰管;10、肝右管 内镜逆行胰胆管造影(ERCP) 1. 副胰管;2、胰管壶腹部;3、胆总管;4、十二指肠降部得对比剂与气体;5、小叶内导管;6、主胰管 下肢静脉造影 1、胫前静脉;2、股静脉;3、大隐静脉;4、旋股外侧静脉;5、股静脉肌支;6、穿静脉;7、腘静脉;8、胫后静脉;9、静脉瓣 在椎体中只有特殊得寰椎 (第1颈椎) 才有侧块,也就就是说侧块就是专指寰椎(第1颈椎)!!! 上关节突:附着在椎体后方得弓状骨板叫椎弓。椎弓得后部称椎弓板。在椎弓板上发出7个突起,其中在两侧向上得叫上关节突。 钩突:椎体上面得侧方有嵴样隆起,称为钩突,与上位椎体下面侧方得斜坡形成钩椎关节。钩突成矢状位,与椎体上面之间形成约100°左右得夹角,其外侧为横突孔,后外侧参与构成椎间孔前壁。一旦钩突增生,斜坡过大,可刺激到椎动脉或神经根。
展开阅读全文

开通  VIP会员、SVIP会员  优惠大
下载10份以上建议开通VIP会员
下载20份以上建议开通SVIP会员


开通VIP      成为共赢上传

当前位置:首页 > 考试专区 > 医师/药师资料考试

移动网页_全站_页脚广告1

关于我们      便捷服务       自信AI       AI导航        抽奖活动

©2010-2026 宁波自信网络信息技术有限公司  版权所有

客服电话:0574-28810668  投诉电话:18658249818

gongan.png浙公网安备33021202000488号   

icp.png浙ICP备2021020529号-1  |  浙B2-20240490  

关注我们 :微信公众号    抖音    微博    LOFTER 

客服