收藏 分销(赏)

呼吸系统X线解剖、正常表现、基本病征PPT课件.ppt

上传人:w****g 文档编号:2297921 上传时间:2024-05-27 格式:PPT 页数:115 大小:14.62MB 下载积分:20 金币
下载 相关 举报
呼吸系统X线解剖、正常表现、基本病征PPT课件.ppt_第1页
第1页 / 共115页
呼吸系统X线解剖、正常表现、基本病征PPT课件.ppt_第2页
第2页 / 共115页


点击查看更多>>
资源描述
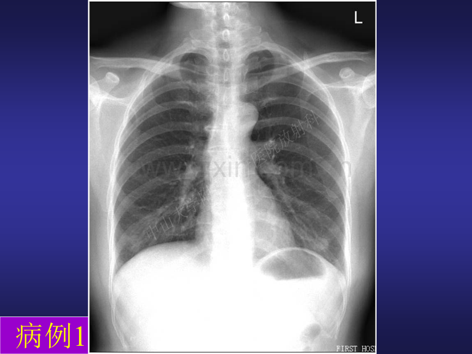
呼吸系统呼吸系统X X线解剖、线解剖、正常表现、基本病正常表现、基本病征征病例1问题s该患者的胸片图像质量是否合格,合格正位胸片的标准如何?s该患者的胸片有无异常,如何鉴别是否正常结构。s阅片的基本原则(顺序、对比、解剖、病理)病例2:请根据你的知识指出该胸片中的正常结构有无异常征象,如有请指出病例2:请指出该侧位胸片中的正常结构有无异常征象,如有请指出图示的图片是什么影像学检查手段获得,理由?两张图片有什么不同,理由?图示两幅图片有无区别,区别何在?你对此有何体 会?以下几幅图提示了多层螺旋 CT成像中的哪一个重要特性,如何理解和应用这个特点?图中所示是否为病变?能指出斜裂和水平裂的位置吗?能指出斜裂和水平裂的位置吗?有何临床意义?左右斜裂在胸片上有何异同点?知道正位胸片上肺叶大致分界吗?问题s前面每幅幻灯上的两张CT片是用什么窗观察,显示的结构有何不同?s叶间胸膜在两张图片上的显示有无不同?解释原因?能用CT定位肺叶吗?用CT图像进行肺叶定位能指出几个典型的次级肺小叶结构吗?显示小叶间隔有何临床意义?食管食管气管气管侧位胸片上纵隔是如何分区的?临床意义如何?纵纵隔隔侧侧位位箭头所示为什么结构?问题s幻灯所示CT片是什么窗技术,观察方向如何?s你能指出其中的多少正常结构?侧位胸片上如何区分左膈和右膈看图说话看图说话看图说话看图说话看图说话看图说话右上叶不张右中叶不张右下叶不张左上叶不张仔细观察这几张图片后看图说话看图说话看图说话看图说话看图说话看图说话看图说话问题s在正位胸片上右肺上叶和左肺上叶不张的区别何在,产生这种区别的解剖学基础是什么?s你觉得哪一个肺叶不张在正位胸片中较难观察,理由是什么?s胸片出现肺叶不张时为什么要进一步检查。看图说话看图说话看图说话看图说话看图说话问题sX线胸片上肺门异常包括那些s出现肺门异常时如何选择检查手段问题s你觉得影像学检查在临床诊疗工作中扮演着什么角色s你觉得学好影像学需要特别注重那些基础知识s你会来从事影像学工作吗s熟悉正常s明辨异常s结合临床s综合分析影像诊断基本原则呼吸系统基本病征(36)、肺结核复习回答问题s产生肺实变的主要疾病种类有哪些,每一种疾病产生实变的病理基础如何?s实变的表现形式主要有哪几种,解释其解剖学基础1、描述上面两个病例的胸片征象2、给两个病例的病变定位并说明理由1、描述上面胸片所示病变的征象2、上面胸片所示的病变是什么性质的病变,解释产生上述征象的病理学基础和解剖学基础1、描述CT片所示病变的征象2、片中所示的病变是什么性质的病变,解释产生上述征象的病理学基础和解剖学基础图中所示为什么性质的病变,说明理由1、指出图示CT片所用的窗技术;2、观察肺部病变形态和测量病变密度应选择什么窗技术,说明理由图中所示为什么性质的病变,说明理由图中所示为什么性质的病变,说明理由描述图中所示病变征象,并说明病变的性质描述图中所示病变征象,并说明病变的性质1、描述图中所示病变征象,并说明病变的性质;2、与肺不张如何鉴别1、描述图中所示病变征象,并说明病变的性质;2、与肺不张如何鉴别1、描述图中所示病变征象,并说明病变的性质;1、描述图中所示病变征象,并说明病变的性质只要见到病灶内部钙化则基本可以诊断为良性,对吗,说明理由浏览以下几张幻灯图片后回答问题s肺内那些病变可以表现为结节或肿块s对这些病变如何进行鉴别阅读以下图片后回答问题s以下图片中那些是良性病变,那些是恶性病变s阐述良性和恶性结节或肿块的鉴别描述图示病变的征象,上述征象的产生可能是什么病变所致并解释之描述图示病变的征象,上述征象的产生可能是什么病变所致并解释之浏览以下幻灯片后回答问题s这些病变共有的特点是什么s肺内那些病变可以有如此表现s对可能产生这种征象的病变如何进行鉴别描述图示病变的征象,上述征象的产生可能是什么病变所致并解释之1描述图示病变的征象,上述征象的产生可能是什么病变所致并解释之;2与气胸如何鉴别1描述图示病变的征象,上述征象的产生可能是什么病变所致并解释之;2与转移瘤如何鉴别1描述图示病变的征象,上述征象的产生可能是什么病变所致并解释之浏览以下幻灯后回答问题s产生下图所见征象的原因是什么s如何与肺不张和肺实变鉴别1描述图示病变的征象,上述征象的产生可能是什么病变所致并解释之1描述图示病变的征象,上述征象的产生可能是什么病变所致并解释之卧位立位图中所示为什么病变,说明理由看图说话看图说话看图说话看图说话看图说话看图说话放大图示为什么征象,如何与胸腔积液鉴别看图说话看图说话看图说话这是发生在什么位置的病变,鉴别诊断包括那些,你考虑为良性还是恶性,以什么病变的可能性较大62岁女性看图说话看图说话看图说话s浏览以下两张幻灯片后比较其不同左上肺继发性结核(渗出为主)左上肺野散在多发斑片状阴影,大部分边缘模糊双上肺继发性结核(渗出为主)深入成就深度 广度决定高度 理念决定方向
展开阅读全文

开通  VIP会员、SVIP会员  优惠大
下载10份以上建议开通VIP会员
下载20份以上建议开通SVIP会员


开通VIP      成为共赢上传

当前位置:首页 > 行业资料 > 医学/心理学

移动网页_全站_页脚广告1

关于我们      便捷服务       自信AI       AI导航        抽奖活动

©2010-2025 宁波自信网络信息技术有限公司  版权所有

客服电话:0574-28810668  投诉电话:18658249818

gongan.png浙公网安备33021202000488号   

icp.png浙ICP备2021020529号-1  |  浙B2-20240490  

关注我们 :微信公众号    抖音    微博    LOFTER 

客服