收藏 分销(赏)

尤文氏肉瘤课件ppt课件.ppt

上传人:丰**** 文档编号:6533111 上传时间:2024-12-11 格式:PPT 页数:18 大小:1.88MB 下载积分:8 金币
下载 相关 举报
尤文氏肉瘤课件ppt课件.ppt_第1页
第1页 / 共18页
尤文氏肉瘤课件ppt课件.ppt_第2页
第2页 / 共18页


点击查看更多>>
资源描述
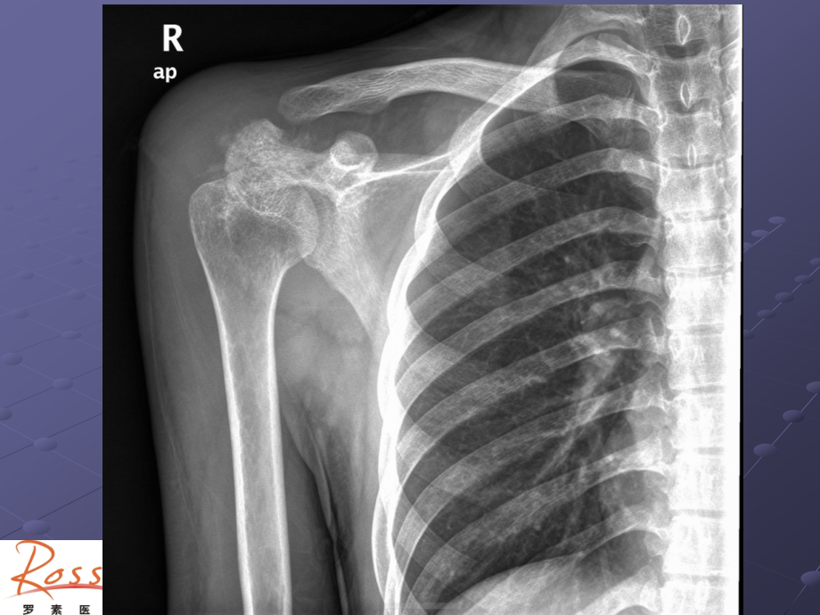
,*,单击此处编辑母版文本样式,第二级,第三级,第四级,第五级,单击此处编辑母版标题样式,病例,男,,20,岁,一周前打球右肩外伤。现红肿,高热,抗炎效果不佳。,?,肩胛骨尤文氏肉瘤,尤文氏肉瘤,尤文氏肉瘤起源于骨髓间充质性结缔组织是由含糖原的特殊小圆形细胞所组成,与其他起源于骨髓的小圆形细胞肿瘤的鉴别主要依靠免疫组织化学检查。尤文氏肉瘤约占骨恶性肿瘤的,4,6%,,男性略多于女性,多见于,5,30,岁,,90,发生于,30,岁之前,尤文氏肉瘤发病年龄小者多位于管状骨,,20,岁以上发病者多发生于扁骨。发生于下肢及骨盆者共占,2,3,。疼痛为主要症状,初为间歇性隐痛,迅速转为持续性剧痛,本病发展快,病程短,早期即可广泛转移,预后不良。,肿瘤生长特征,1.,肿瘤由骨髓腔向骨皮质发展,骨松质和骨皮质溶解破坏;,2.,侵袭骨膜可产生不同程度的反应;,3.,突向周围形成较明显软组织肿块;,4.,肿瘤为非成骨性,故不形成肿瘤性骨组织或软骨组织。,CT,表现,1.,溶骨性破坏:骨髓腔呈梭形膨胀,发生于扁骨的少有膨胀;骨皮质可硬化增厚或被破坏变薄呈虫蚀状。,2.,骨膜反应:呈放射状、葱皮样及,Codman,三角改变。发生扁骨的骨膜反应较轻。,3.,软组织肿块:其内常出现出血、坏死瘤周伴有水肿。,本例特点及鉴别,特点:,20,岁青年男性;右肩胛骨肩峰骨皮质硬化增厚,并见边缘虫蚀样骨质破坏,无膨胀性改变,未见肿瘤骨;有较明显的骨膜反应;周围可见软组织肿胀。,鉴别:主要和骨肉瘤鉴别,肿瘤骨为其特征性表现,软组织肿块多包绕骨端。,骨肉瘤,骨肉瘤是指瘤细胞能直接形成骨样组织或骨质的恶性肿瘤。,男女发病之比约,1.7:1,,好发年龄为,11,30,岁。最常发生于股骨,胫骨次之,其余依次为肱骨、颌骨、腓骨及骨盆。,骨肉瘤的恶性程度高、进展快,多早期发生肺转移,是最常见的原发性恶性骨肿瘤,发病率约占骨恶性肿瘤的,34%,。,疼痛、局部肿胀和运动障碍是骨肉瘤三大主要症状。,影像学表现,1.,骨质破坏:多始于干骺端中央或边缘部分,骨松质斑片状骨破坏,皮质边缘虫噬样破坏,在皮质内表现为哈弗氏管扩张而呈筛孔状破坏,后期骨破坏区形成大片骨缺损。,2.,肿瘤骨:骨破坏区和软组织肿块内的肿瘤骨是本病本质的表现,也是影像诊断的重要依据。肿瘤骨的形态主要有:云絮状斑块状针状。,3.,软组织肿块:表示肿瘤已侵犯骨外软组织,肿块多呈圆形或半圆形,境界多不清。,4.,骨膜新生骨和,Codman,三角:两种征象虽是骨肉瘤常见而重要的征象,但并没有特异性。,
展开阅读全文

开通  VIP会员、SVIP会员  优惠大
下载10份以上建议开通VIP会员
下载20份以上建议开通SVIP会员


开通VIP      成为共赢上传

当前位置:首页 > 包罗万象 > 大杂烩

移动网页_全站_页脚广告1

关于我们      便捷服务       自信AI       AI导航        抽奖活动

©2010-2025 宁波自信网络信息技术有限公司  版权所有

客服电话:0574-28810668  投诉电话:18658249818

gongan.png浙公网安备33021202000488号   

icp.png浙ICP备2021020529号-1  |  浙B2-20240490  

关注我们 :微信公众号    抖音    微博    LOFTER 

客服