收藏 分销(赏)

怎么看头颅CT和MRI.ppt

上传人:精*** 文档编号:12677049 上传时间:2025-11-23 格式:PPT 页数:37 大小:2.38MB 下载积分:12 金币
下载 相关 举报
怎么看头颅CT和MRI.ppt_第1页
第1页 / 共37页
怎么看头颅CT和MRI.ppt_第2页
第2页 / 共37页


点击查看更多>>
资源描述
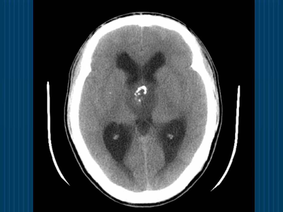
单击此处编辑母版标题样式,单击此处编辑母版文本样式,第二级,第三级,第四级,第五级,*,问题1、,什么样的片子是CT?什么样的片子是MRI?,问题2、,头颅CT与MRI是怎么拍出来的?,CT是怎么拍出来的?,CT(Computerized tomography),原理:X线束透过人体不同密度的组织被吸收的量大小不同,投影到探测器上,转换为数字信号,经电脑处理而获得图像。,黑影低密度区,如脑室;,白影高密度区,如骨骼;,组织对X线的吸收系数称为CT值,水的CT值0HU,骨骼的CT值+1000HU,空气的CT值-1000HU,MRI是怎么拍出来的?,MRI(Magnetic resonance imaging),原理:发射特定频率的射频脉冲激发H原子核,作为小磁体的H原子核可以从射频脉冲中获取能量产生共振,停止发射射频脉冲后,H原子核所吸收的能量逐渐释放,恢复至原来的状态,这个过程所需要的时间有两种,一种是纵向弛豫时间(T1),一种是横向弛豫时间(T2)。由于人体的组织均含有H,2,O和C-H结构,信号强度与H原子核的密度有关,故不同组织有其各自的T1和T2,被探测器所获得,经电脑程序处理形成图像。,问题3、,怎么看CT?,基本信息,1、是否为CT片;,2、分清左右;,3、患者姓名;,4、拍片时间;,5、找病灶,正常头颅CT,眦耳线,层厚8-10mm,常见疾病的CT诊断,大面积脑梗死,常见疾病的CT诊断,基底节区脑梗死,常见疾病的CT诊断,脑出血,常见疾病的CT诊断,脑干出血,常见疾病的CT诊断,颅内肿瘤,问题4、,怎么看MRI?,基本信息,1、是否为MRI片;,2、分清T1、T2;,3、患者姓名;,4、拍片时间;,5、找病灶,常见疾病的MRI诊断,略,
展开阅读全文

开通  VIP会员、SVIP会员  优惠大
下载10份以上建议开通VIP会员
下载20份以上建议开通SVIP会员


开通VIP      成为共赢上传

当前位置:首页 > 包罗万象 > 大杂烩

移动网页_全站_页脚广告1

关于我们      便捷服务       自信AI       AI导航        抽奖活动

©2010-2025 宁波自信网络信息技术有限公司  版权所有

客服电话:0574-28810668  投诉电话:18658249818

gongan.png浙公网安备33021202000488号   

icp.png浙ICP备2021020529号-1  |  浙B2-20240490  

关注我们 :微信公众号    抖音    微博    LOFTER 

客服