收藏 分销(赏)

心脏大血管先天异常.ppt

上传人:a199****6536 文档编号:1845359 上传时间:2024-05-10 格式:PPT 页数:53 大小:17.36MB 下载积分:14 金币
下载 相关 举报
心脏大血管先天异常.ppt_第1页
第1页 / 共53页
心脏大血管先天异常.ppt_第2页
第2页 / 共53页


点击查看更多>>
资源描述
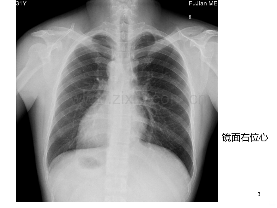
心脏大血管先天异常福建医科大学附属第一医院影像科 林娜1一、心脏位置异常镜面右位心:右位心合并内脏转位,是相对多见的先天性心脏位置异常;心尖向右,心脏2/3在右,1/3在左,心脏长轴指向右前下方,心影大部在中线右侧。左旋心:又称单发左位心,心尖指向左侧,合并完全性内脏转位或不同程度的内脏转位。右旋心:又称单发右位心,心尖指向右,通常主动脉弓及降主动脉仍在左侧,其他内脏不转位。2镜面右位心3镜面右位心4右旋心5二、主动脉畸形主动脉缩窄主动脉弓中断血管环6l主动脉缩窄主动脉弓峡部狭窄(峡部:左锁骨下动脉起点与动脉导管间的区域)临床表现:上肢血压升高,下肢血压降低。X线:3字征(主动脉弓降部呈3字样改变,上部弧形代表主动脉弓,下部弧形代表降主动脉狭窄后扩张,中间凹陷代表主动脉的缩窄)7主动脉缩窄,永存左上腔静脉1829主动脉缩窄,动脉导管未闭110211主动脉缩窄12l主动脉弓中断主动脉弓的某一段完全缺如或因极度的发育不全形成闭锁,升主动脉与降主动脉间没有直接连续,降主动脉多连接到肺动脉上。患有主动脉弓中断的新生儿若不及时手术,多于出生后一个月内死于充血性心力衰竭。三联征(Steidele复合畸形):主动脉弓中断-室间隔缺损-动脉导管未闭,这常是病人存活的重要条件。部分与拇指畸形并存成为“Halt-Oram”综合征。13根据中断的位置分三型:(据Van praagh R报道)A型,约占43%,中断位于左锁骨下动脉起始部远端;B型,约占53%,中断位于左颈总动脉与左锁骨下动脉起始部之间;C型,约占4%,中断位于头臂干与左颈总动脉起始部之间。这三种类型又可根据动脉导管的开闭,左锁骨下动脉的起始点以及中断部位的结构连续性形成若干变异。X线:缺乏特征,心影增大,主动脉结影消失,肋骨下缘切迹1415161718心脏增大,上纵隔通常较窄,主动脉结常缺如19l血管环先天性主动脉弓发育畸形,由异常持续存在的未退化的主动脉弓及其分支组成的环状结构,包绕了气管和食管,引起呼吸道和食道梗阻。包括:双主动脉弓、右位主动脉弓伴迷走左锁骨下动脉、肺动脉吊带临床症状:与气管狭窄相似,生后呼吸困难,持续喘憋,反复呼吸道感染。20双主动脉弓临床最常见的血管环形式 X线:前后位上胸椎第3、4水平上段可见食管两侧(也可以右侧为主)的锯齿状切迹,且右侧的压迹更深。在侧位和左前斜位胸片中可见一后位的较大锯齿状切迹,则是食管后主动脉弓的特征。单侧或双侧肺野过度充气(气管或支气管主干部分梗阻)212223肺动脉吊带(迷走左肺动脉)是左肺动脉异常起源于右肺动脉的后方,呈半环形跨过右主支气管向左穿行于食道前和气管后到达左肺门,常合并气管下段、右主支气管和食管不同程度的压迫。24三、右位主动脉弓它是由于左侧第四鳃动脉弓的退化而右侧第四弓的发育的结果。按降主动脉位置分型:I型,降主动脉在脊柱右侧,多伴其他先天性心脏畸形,一般对食管无推移;II型,降主动脉在脊柱左侧,将食管推向前向左。25X线:后前位显示左上无正常主动脉结,其位于右上。诊断右位降主动脉需要高千伏摄影,以观察降主动脉 位置;进一步检查靠食管吞钡。CT:主动脉弓跨右主支气管,降主动脉位于右侧胸腔内(II型)。常合并迷走左锁骨下动脉,其起始部可见血管局限性扩张,此为左侧主动脉弓的残余。主动脉弓上层面扫描自右向左可见右锁骨下动脉、右颈总动脉和左侧头臂干。常同时显示并存的右位心和内脏反位。26右位主动脉弓I型27右位主动脉弓II型28四、主动脉弓主要分支畸形迷走右锁骨下动脉右位主动脉弓伴镜面分支右位主动脉弓伴迷走左锁骨下动脉29l迷走右锁骨下动脉最常见的主动脉弓畸形,发病率约1/200主动脉弓的最后一支头臂血管发出,常起始于主动脉弓和降主动脉的连接部,成为主动脉弓的第4支头臂动脉分支从下方自左向右上行穿过后纵隔,一般在第4颈椎至第4胸椎间80%位于食管后面(在食管后壁形成一斜的螺旋状压迹),15%位于食管与气管之间,仅5%-10%位于气管前30X线:观察纵隔和食管钡餐造影食管压迹的改变CT:气管右侧类圆形结节,走行于食管后方,沿着气管的右侧向腋窝方向延伸,与其血管壁处可见到钙化MRI:横轴位及冠状位,可发现合并的其他畸形(如主动脉缩窄,此时若迷走右锁骨下动脉起自缩窄的远端,它就成为一支主要的侧支循环动脉,肋骨切迹也表现为左侧可见)31迷走右锁骨下动脉32五、肺静脉异位引流肺静脉未能直接与左心房连接,而与右心房或体静脉系统连接的先天性心血管异位肺静脉非完全性异位引流:常无明显体征,占60%-70%,指部分的肺静脉不进入左心房而引流入体循环的静脉系统,如右心房和上、下腔静脉等处。肺静脉完全性异位引流:占30%-40%,四支肺静脉分别或汇合后连接至某一体循环,不引流入左心房,导致右心房、右心室增大;分为心上型、心下型心上型可连接至左上腔静脉、冠状窦、右上腔静脉、右心房、奇静脉心下型从汇合部有一血管经食管裂孔进入腹腔,止于门静脉或其分支33完全畸形连接必须有房间交通,肺静脉血才能进入左心,代偿情况取决于流经房间交通的血量、肺血管床的情况、有无肺静脉阻塞34X线:右心房室增大,肺血多,左心不大,主动脉弓小 肺静脉通过左上腔静脉引流者使上纵隔影突出,与下方的心影构成8字形影 心下型连接静脉表现为弯刀样佂 严重肺静脉阻塞时有肺静脉高压所致的肺血再分配及间质性水肿3536373839六、腔静脉异位引流上腔静脉先天畸形永存左上腔静脉(双侧上腔静脉畸形)左颈内静脉与左锁骨下静脉汇合到永存左上腔静脉,引流入冠状静脉窦或左心房 右上腔静脉直接连至左心房很少见下腔静脉畸形:主要是与左心房连接,也常有奇静脉将部分下腔静脉血引流至上腔静脉X线:上腔静脉异位引流:在主动脉弓水平,可发现两侧上腔静脉影或右上腔静脉缺如 下腔静脉异位引流:在肾脏或肝脏水平,可发现双下腔静脉或下腔静脉中断并与奇静脉系统异常连接,奇静脉系统扩张401永存左上腔静脉41242343永存左上腔静脉144245346447548495051522024/5/7 周二53.
展开阅读全文

开通  VIP会员、SVIP会员  优惠大
下载10份以上建议开通VIP会员
下载20份以上建议开通SVIP会员


开通VIP      成为共赢上传

当前位置:首页 > 行业资料 > 医学/心理学

移动网页_全站_页脚广告1

关于我们      便捷服务       自信AI       AI导航        抽奖活动

©2010-2026 宁波自信网络信息技术有限公司  版权所有

客服电话:0574-28810668  投诉电话:18658249818

gongan.png浙公网安备33021202000488号   

icp.png浙ICP备2021020529号-1  |  浙B2-20240490  

关注我们 :微信公众号    抖音    微博    LOFTER 

客服