收藏 分销(赏)

腹膜后脂肪肉瘤影像学表现与鉴别诊断.ppt

上传人:w****g 文档编号:1790445 上传时间:2024-05-09 格式:PPT 页数:38 大小:7.20MB 下载积分:12 金币
下载 相关 举报
腹膜后脂肪肉瘤影像学表现与鉴别诊断.ppt_第1页
第1页 / 共38页
腹膜后脂肪肉瘤影像学表现与鉴别诊断.ppt_第2页
第2页 / 共38页


点击查看更多>>
资源描述
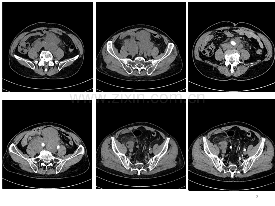
今日读片 ID号:1007263003 2017-9-21日腹部CT患者,男性,73岁,2017-6无明显诱因发现下腹部包块,局部无压痛,未引起重视。此后包块逐渐增大,并局部压痛。来我院就诊。既往有“疝气修补术”史,余无特殊病史。123病例分析思路诊断需要解决的问题l病变的部位l病变与其他器官的关系l定性诊断定位诊断是影像学要解决的主要问题4定位该病例显示很清楚,病灶位于腹膜后及盆腔内。腹膜后间隙指横膈以下和盆膈以上,腹后壁和后腹膜之间的区域,常简称为“腹膜后”。是一个疏松组织构成的大间隙,范围甚大,腹膜后间隙的疾病有损伤、感染、肿瘤、纤维化等。与周围组织关系:病变与腹膜后器官组织无明显浸润,以推压为主要表现;对周围脂肪组织主要是渗出、浸润为主要表现;对部分大血管组织被包绕生长。5定性临床情况,患者年龄肿瘤生长部位与方式肿瘤的大小、形态肿瘤的血供:动态增强肿瘤的质地、组织成分与影像学特征具特征性的影像学表现:特异征象良恶性鉴别6定性患者老年男性患者,发病时间较短。主要位于腹膜后间隙,周围脂肪间隙渗出、浸润,周围大血管被包绕,形成“包埋”征象。肿瘤体积大、范围广、形态不规则,局部呈融合性生长。肿瘤主要以软组织密度为主,盆腔右侧区肿块内可见混杂少许脂肪密度影。延迟强化,强化尚均匀,周围血管局部可见充盈缺损样改变。右侧腹股沟区肿大淋巴结。7综合判断考虑:腹膜后及盆腔内多发软组织肿块,考虑恶性肿瘤,脂肪肉瘤可能,并右侧腹股沟淋巴结转移。8病理结果:多形性脂肪肉瘤(中度侵袭性)9多形性脂肪肉瘤定义:包含数量不等的多形性脂肪母细胞的多形性高度恶性肉瘤。没有非典型脂肪瘤样肿瘤(高分化脂肪肉瘤)或其他方向分化(恶性间叶瘤)的区域流行病学:是脂肪肉瘤中最少见的亚型(分化性、黏液性、多形性、圆形细胞性和去分化脂肪肉瘤等5 个亚型),大约占所有脂肪肉瘤的5%,而占所有多形性肉瘤的20%。大部分发生在较大年龄(大于50岁),男女发病相等累及部位:多发生于四肢(下肢多于上肢),躯干和腹膜后次之,也可偶见于纵隔、睾丸旁区、头皮、腹/盆腔和眼眶。大部分发生在深部软组织内。10临床特征 与其他深部肿瘤一样,大部分患者主诉有质硬的肿大包块,许多病例最近有手术切除病史。总体来说,多形性脂肪肉瘤是一个高度侵袭性的肿瘤,转移率达30-50%,与疾病相关的死亡率达到40-50%。许多病人在短期内死亡,肺部是最常见的转移部位。相比之下,去分化脂肪肉瘤和高级别粘液纤维肉瘤的临床经过更长,深部软组织的多形性脂肪肉瘤的临床经过更具有侵袭性,这也强调有必要将多形性脂肪肉瘤划分出来。11病理特点多形性的梭形细胞、圆形细胞以及数量不等的异形的脂肪母细胞组成。影像学特点由于基本不含较成熟的脂肪成分,不含或仅含少量粘液成分,且容易发生坏死,故影像学表现为质地不均匀的软组织肿块。CT扫描呈骨骼肌密度,增强后呈中重度强化,其内坏死灶增强扫描不强化,MRI上T2WI表现为略高、等混杂信号。影像学需要与其他类型的软组织肉瘤或恶性纤维组织细胞瘤、淋巴瘤难以区分。注:圆形细胞型脂肪肉瘤,少见,由长期存在或复发性低分化黏液型脂肪瘤发展而来,恶性程度高。不含有较成熟的脂肪成分,不含或仅含少量的黏液成分,易发生坏死,故影像学表现为质地不均的软组织肿块。与多形性脂肪肉瘤在影像学难以区分,确诊需要依靠病理组织学检查。12131415多形性-黏液型脂肪肉瘤腹膜后不规则巨大软组织包块,内见斑点状、索条状脂肪密度区,局部有接近液性密度区;作甚实质及周围肠管受侵犯。16其它几种类型的脂肪肉瘤高分化型脂肪肉瘤:大部分成分成脂肪密度,肿块巨大,边界清晰,瘤内可见云絮样、条纹样边缘模糊的略高密度影集粗细不一间隔,血管不丰富,有强化分隔及不均质是其特点,CT所示的云絮状、条纹状略高密度影及分隔与脂肪母细胞、梭形细胞、胶原及纤维组织等成分有关17黏液性脂肪肉瘤影像学主要表现均匀的“囊状”肿块,介于水与软组织之间的液体密度,边界清楚,CT值平均20Hu左右肿块密度根据肿瘤细胞分化程度、黏液及纤维组织成分不同而密度各异,含黏液成分较多,密度低接近于水,病变实性成分较多者密度增高,呈稍低于肌密度或等于肌密度18去分化型脂肪肉瘤低度恶性的高分化型脂肪肉瘤中出现高度恶性的非脂肪源性肉瘤典型的CT表现为脂肪样成分中出现等于或高于肌肉密度肿块,可见出现钙化或骨化密度,增强扫描早期不均匀强化,两种成分界限分明,延迟扫描明显均匀强化19脂肪肉瘤主要由大小及范围不一的脂肪成分及非脂肪成分构成。分化良好-黏液型脂肪肉瘤,形态较为规则,可见大范围的脂肪密度或信号;分化约成熟,脂肪密度越低或信号越接近皮下脂肪信号肿块内见厚薄不一的软组织分隔及结节,尤其比较厚的分隔及大于1cm的结节,在病理上去分化、黏液变及多形性的可能性大幅度增大,增强扫描强化明显,可具有一定的侵袭性,尤其是星芒状的结节具有较高的特异性202122鉴别诊断平滑肌肉瘤占原发性腹膜后肿瘤的第2位,女性多见腹膜后类圆形或分叶状巨大肿块起源于腹膜后平滑肌、下腔静脉壁平滑肌,可侵犯血管特征:实性肿块,信号/密度欠均匀,其内可见多发不规则坏死区及囊变。不含脂肪增强实质部分不均匀明显强化,也可呈不规则环形强化钙化少见当脂肪肉瘤内不含有成熟脂肪成分时,两者很难鉴别23242526平扫为软组织密度,动脉期中度强化,静脉期持续性强化,肿瘤包绕左肾动脉,与主动脉分界不清27恶性纤维组织细胞瘤占原发性腹膜后肿瘤的第3位,好发于中年男性肿块多较大,类圆形或分叶状,边缘多较清楚易侵犯周围组织器官,浸润性生长增强除坏死与钙化部分呈中高度强化常伴有坏死及不定形钙化,可能为肿瘤基质内聚集骨软骨化生病灶所致,可作为诊断本病的线索肿瘤内常局灶性出现席纹状或车轮状结构:轨道征MRI:成分复杂,含有实质部分、囊变、出血、黏液间质及纤维组织等,MRI表现复杂。T2WI“水果盘征”为恶性纤维组织细胞瘤的特征性改变282930CT显示“轨道征”31淋巴瘤 发热、盗汗,可有腹痛 非霍奇金淋巴瘤多发生于50岁以上,霍奇金淋巴瘤多发发生在15-35岁 CT:腹膜后沿大血管分布的界限清楚的多发肿大淋巴结,伴或不伴有局部融合,形态不规则,密度均匀,出血、坏死、钙化少见。增强动脉期无强化,或轻度强化,静脉期轻度或中度持续强化,延迟期病变均匀持续性强化,少数中央坏死的表现为环形强化 T1WI稍低、T2WI稍高信号,信号均匀,增强检查轻中度均匀强化3233淋巴结转移瘤通常体积较小,表现为腹膜后多个肿大淋巴结,可以融合,中间有坏死的成环状强化,结合原发肿瘤病史容易鉴别34总结腹膜后病变的诊断步骤第一步:是否是腹膜后?第二步:是否是脏器来源的?与脏器关系第三步:寻找特殊征象第四步:血供情况?肿瘤的良恶性鉴别 单从肿瘤的大小及外观上有时候很难认其良恶性,需要结合肿块与周围的关系、淋巴结增大等综合表现约85%间叶组织肿瘤为恶性,而神经源性肿瘤以良性居多实质肿瘤:较大的实性肿瘤多为恶性,可呈不规则分叶状或多结节融合状,与周围组织界限不清或有浸润,有淋巴结增大囊性肿瘤:常为良性,其生长缓慢,均有完整的包膜,边缘清楚35 影像诊断结论非最终确诊结果,我们应尽可能准确的给出肿瘤部位、范围及与邻近组织关系,特别是与血管的关系,便于临床治疗、手术方案的确定。36谢谢各位老师,请给予批评、指正37此课件下载可自行编辑修改,供参考!感谢您的支持,我们努力做得更好!38
展开阅读全文

开通  VIP会员、SVIP会员  优惠大
下载10份以上建议开通VIP会员
下载20份以上建议开通SVIP会员


开通VIP      成为共赢上传

当前位置:首页 > 行业资料 > 医学/心理学

移动网页_全站_页脚广告1

关于我们      便捷服务       自信AI       AI导航        抽奖活动

©2010-2026 宁波自信网络信息技术有限公司  版权所有

客服电话:0574-28810668  投诉电话:18658249818

gongan.png浙公网安备33021202000488号   

icp.png浙ICP备2021020529号-1  |  浙B2-20240490  

关注我们 :微信公众号    抖音    微博    LOFTER 

客服