收藏 分销(赏)

影像解剖学--知识点.pdf

上传人:精*** 文档编号:1183711 上传时间:2024-04-17 格式:PDF 页数:13 大小:536.14KB 下载积分:8 金币
下载 相关 举报
影像解剖学--知识点.pdf_第1页
第1页 / 共13页
影像解剖学--知识点.pdf_第2页
第2页 / 共13页


点击查看更多>>
资源描述
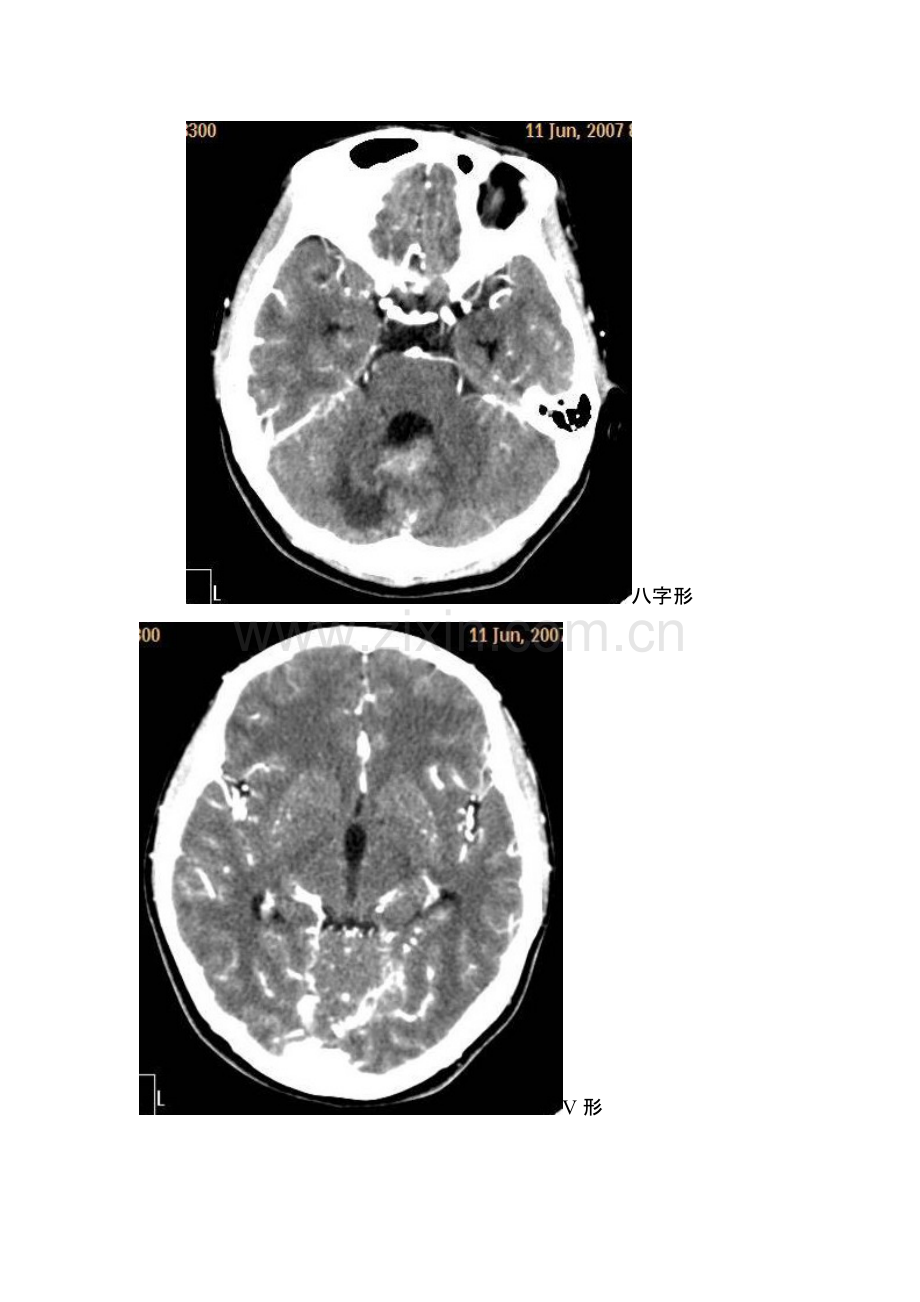
影响解剖学影响解剖学 知识点知识点 学期结束了,在此把学的知识整理一下,这里有老师讲课中强调的考试重点,也有以后到临床要注意的问题。这里不安书本的章节顺序 一,中枢神经系统 1、颅中窝:蝶鞍两侧从前至后依次为眶上裂、圆孔、卵圆孔、棘孔。(眶上裂通过动眼神经、滑车神经、三叉神经的眼神经以及外展神经,圆孔通过上颌神经,卵圆孔通过下颌神经,棘孔通过脑膜中动脉)2、脑干的组成:中脑、脑桥、延髓。3、大脑半球比较重要的三个沟:中央沟、外侧沟、顶枕沟。4、颅缝的封合时间是 3050 岁,闭合顺序是矢状缝、冠状缝、人字缝。5、鞍上池的形状有五边形和六边形,五边形时后方为脑桥上缘,六边形时正后方为脚间池,脚间池向后通环池,四叠体池(呈“W”型)。脚间池和环池环绕的脑组织是中脑。6、小脑幕的形态:有八字形、V 形、Y 形 八字形 V 形 Y 形 Y 形 7、大脑半球从外向里的结构:脑皮质、脑髓质、基底核、第三脑室 8、大脑大动脉环(基底动脉环):由前交通动脉、双侧大脑前动脉起始部、两侧颈内动脉、两侧后交通动脉及两侧的大脑后动脉起始部构成,又称 Willis 环.二、头颈部 9、中耳的结构:包括鼓膜、咽鼓管、鼓室、听小骨、乳突窦,乳突小房。10、内耳从前内到后外结构为:耳蜗、前庭、半规管 11、面神经管的分段:内耳上段、鼓室内壁段、乳突段 12、常见变异:鼓室盖低位、乙状窦前位、导静脉高位 13、窦口鼻道复合体(OMC):即前组副鼻窦在中鼻道开口区域,包括(上颌窦口、)钩突、筛漏斗、半月裂、筛泡、中鼻甲和中鼻道.14、硬脑膜窦:三、消化系统 15、食管的三个狭窄、三个压迹的名称 三个狭窄:第一狭窄:位于食管与咽的连接处,距中切牙15cm。第二狭窄:位于食管与左支气管交叉处,距中切牙 25cm。第三狭窄:位于食管穿膈肌处(通过食管裂孔处),T10 水平,距中切牙 40cm。三个压迹:主动脉弓压迹、左主支气管压迹、左心房压迹(最长最浅)。(食管的三个压迹只是针对食管前缘而言的)16、A、B、C 环 17、胃的分型、分部 胃分四型:牛角型:常见于矮胖的人,位置、肌张力高,呈横位,上宽下窄,胃角不明显。鱼钩型(中间型):位置、肌张力中等,胃角明显,胃大弯最低处大致位于髂嵴水平,胃体与幽门间的角成锐角。瀑布型:胃底大体小,胃底呈囊袋装向后倾,钡剂先进入后倾的胃底,充满后再溢入胃体,犹如瀑布。无力型:常见于瘦长或瘦弱的人,位置和张力均较低,胃腔上窄下宽如水袋,胃大弯最低处常在髂嵴以下 胃的分部:分为胃底、胃体、胃窦三部分。18、胃大小弯的黏膜像特征:19、十二指肠球部的充盈像形态 20、十二指肠降部的特点 21、十二指肠水平部:22、回肠空肠如何识别:23、回盲瓣:24、结肠的三个特征性结构:25、胃角切迹:胃小弯先下行,后转向右或右上方,转角处即胃切迹(胃角)。26、第一肝门的结构:27、第二肝门的结构:28、H 沟的结构:29、肝分叶分段的依据及具体分段情况:30、胆囊三角:31、胆管的内径:32、Glisson 系统:33、胆囊壁的厚度:34、CT 上胆囊底的位置:35、胰腺的分部以及 CT 上出现的顺序:36、钩突和胰头包夹的血管:37、胰管的内径:38、MRI 上正常肝胆胰脾的信号:四、骨关节系统 39、关节的组成:肩关节:由肩胛骨的关节盂与肱骨头构成肘关节:由肱尺关节、肱桡关节、桡尺近侧关节组成。三个关节共同包在一个关节囊内,关节囊的后部最薄弱,当肘外伤时以后脱位最常见。腕关节:由手舟骨、月骨和三角骨与桡骨下端的腕关节面及尺骨下端的关节盘构成。髋关节:为球窝关节,由髋臼、股骨头和关节囊组成。髋臼由髂、坐、耻三骨的体部结合组成。膝关节:由股骨下端和胫骨上端构成的内、外胫股关节及髌骨和股骨髌骨面构成的髌股关节共同构成。踝关节:由胫、腓骨下端关节面与距骨上关节面构成。40、骨发育的两种形式:膜内化骨和软骨内化骨 41、骨化中心:42、次骨化中心:43、椎间盘突出症的影像表现:44、长骨如何发育:45、脱位在影像上如何判断:五、呼吸系统 46、肺的分叶分段:47、肺泡:48、一些体表解剖标记:49、肋软骨的钙化顺序:50、心胸比例:六、循环系统 51、右前斜位的解剖结构:52、左前斜位的解剖结构:53、正位胸片的解剖结构:54、侧位胸片的解剖结构:55、相反搏动点:56、心腰凹陷:57、左右冠脉的起源及分支:58、超声上二尖瓣的心动图形态:59、超声上三尖瓣的心动图形态:七、泌尿生殖系统 60、骨盆平片中泪滴现象属正常 61、腹膜腔最低点:62、女性子宫输尿管造影中子宫、输尿管的分部:63、输尿管的三处狭窄:八、血管 64、血管的走行及其分支(一二三级结构)65、四肢血管的走行及其分支(下肢静脉有深浅两套):66、门静脉系统的组成:补充:67、胸膜腔的最低点:68、胃小沟:69、胃小区:70、每组鼻窦开口于哪些部位:71、常见英文缩写代表的含义 MRA:Calot 三角:胆囊三角 CT:计算机体层成像 CDFI:彩色多普勒血流成像
展开阅读全文

开通  VIP会员、SVIP会员  优惠大
下载10份以上建议开通VIP会员
下载20份以上建议开通SVIP会员


开通VIP      成为共赢上传

当前位置:首页 > 考试专区 > 医师/药师资料考试

移动网页_全站_页脚广告1

关于我们      便捷服务       自信AI       AI导航        抽奖活动

©2010-2026 宁波自信网络信息技术有限公司  版权所有

客服电话:0574-28810668  投诉电话:18658249818

gongan.png浙公网安备33021202000488号   

icp.png浙ICP备2021020529号-1  |  浙B2-20240490  

关注我们 :微信公众号    抖音    微博    LOFTER 

客服