收藏 分销(赏)

蛛网膜囊肿培训课件.pptx

上传人:天**** 文档编号:10669540 上传时间:2025-06-07 格式:PPTX 页数:33 大小:114.51KB 下载积分:12 金币
下载 相关 举报
蛛网膜囊肿培训课件.pptx_第1页
第1页 / 共33页
蛛网膜囊肿培训课件.pptx_第2页
第2页 / 共33页


点击查看更多>>
资源描述
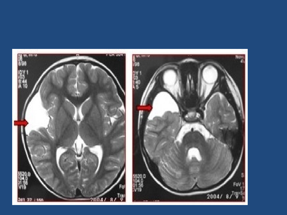
单击此处编辑母版标题样式,单击此处编辑母版文本样式,第二级,第三级,第四级,第五级,2018/1/10,#,蛛网膜囊肿的治疗,1、,蛛网膜囊肿概述,颅内蛛网膜囊肿是小朋友很常見的良性病变,其发病率约占小朋友颅内病变的1,男性较多,左侧多于右侧。,囊肿位于脑表面、脑裂及脑池部,不累及脑实质。多為單发,少数多发。其中90位于幕上,60位于颅中窝(亦称為侧裂蛛网膜囊肿),蛛网膜囊肿确实切自然病史并不明确,由于绝大多数患者是進行颅脑影像學检查而被发現的,因此長期的神經影像學观测有助于理解蛛网膜囊肿的自然病程。,壹项對11738例小朋友持续的磁共振检查发現,蛛网膜囊肿的检出率為2.6;在平均随诊观测3.5年的111例患儿中,蛛网膜囊肿体积增大者11例(9.9),缩小者13例(11.7),無变化者87例(78.4);其中低龄与囊肿增大亲密有关,在首诊時所有4岁的患儿均無囊肿增大或出現新症状.,另壹项對48417例成人持续的磁共振检查发現,蛛网膜囊肿的检出率為1.4(661例),其中無症状者占94.7,有症状者仅占5.3(35例),有症状者中24例(3.6)需要手术治疗2。虽然绝大多数蛛网膜囊肿無症状,但亦有少部分患者會出現自发性囊肿破裂或出血,严重時甚至危及生命,其发生比率為6,直径5cm的蛛网膜囊肿更轻易破裂。有文献证明,直径5cm的蛛网膜囊肿及近期有頭部外伤是囊肿破裂或出血的危险原因3。,蛛网膜囊肿切面图,二,、,分类,按病因不壹样可分為先天性和继发性(外伤性及感染後)两大类。,先天性蛛网膜囊肿是脑脊液被包围在蛛网膜内所形成的袋状构造,不与蛛网膜下腔相通。,继发性者由于蛛网膜粘连,在蛛网膜下腔形成囊肿,内含脑脊液。,三、发生學,髓周网菱形顶破裂,脑脊液额流入,脉络丛的搏動,對脑脊液起泵作用,神經组织周围疏松的髓周网分開,形成蛛网膜下腔,如初期脑脊液流向反常,则可在髓周网内形成囊肿。,脑池形成发生偏差,理由是蛛网膜囊肿分布总与脑池有关,如外侧裂池、CPA池、四叠体池等,四、临床体現,本病起病隐袭,多無症状。某些体积大的蛛网膜囊肿可出現与颅内占位病变相似临床体現。,颅骨发育异常或巨颅畸形,尤其多見于小儿;,小儿期的鞍上池囊肿可体現為昂首-低頭頭部活動,即玩偶頭样症状;,左侧中颅凹囊肿可合并注意力不集中症(ADHD);,頭痛,但不是所有頭痛患者均有蛛网膜囊肿;,癫痫;,脑积水(脑脊液汇集過多);,颅内压增高;,发育缓慢;,行為变化;,惡心;,偏瘫(壹侧肢体無力或瘫痪);,共济失调(肌肉运動不协调);,幻听;,早老性痴呆,多合并Alzheimer氏病。,影像學体現,五、治疗,多数學者认為對于無临床症状者则不需手术治疗。而针對有症状者,则需手术治疗對囊肿進行内減压及囊壁切除。,手术治疗指征,有症状者:,囊肿导致的梗阻性脑积水;,颅内压增高;,与囊肿明确有关的癫痫;,局灶性神經功能障碍;,進行性增大的囊肿;,囊肿破裂导致的硬膜下积液或血肿。,無症状者:,無症状者,尤其是直径5cm的蛛网膜囊肿 与否应予防止性手术,目前還存在争议。,結合蛛网膜囊肿的自然病史,對于年龄4岁的無症状患者,尤其是婴幼儿,应六個月复查1次神經影像(CT或MRI),假如囊肿進行性增大出現對应的症状者,应积极手术;,假如囊肿增大但仍無症状者,直径6cm者可以考虑手术,6cm者可继续观测。對于年龄4岁的患者,其囊肿增大的也許性明显減少,可每年复查1次CT或MRI,對比囊肿有無变化,期间告诫患者防止剧烈运動、頭部外伤等;壹旦出現頭痛、呕吐等症状应及時复查CT或MRI,证明囊肿破裂可行钻孔引流或開颅清除血肿。,六、手术方式,開颅囊壁切除或囊肿開窗手术,内镜囊肿脑池造瘘术;,囊肿-腹腔分流术,近来的壹项Meta分析显示,术後5年這几种手术方式對患者的生活质量影响無明显差异,3种手术方式的疗效存在差异,其中開颅囊肿開窗术後囊肿的缩小率為92,近全消失率為51;内镜囊肿造瘘术後囊肿的缩小率為75,近全消失率為39;囊肿腹腔分流术後囊肿的缩小率為100,近全消失率為895。從囊肿消失率及缩小比率上看,囊肿腹腔分流术效果最佳。,Shim等报道,在19例行蛛网膜囊肿-腹腔分流术的患者中,术後出現分流管依赖的有8例,平均為术後6.1年,比例高达42;而對其中11例囊肿完全消失的病例,尝试結扎分流管以便拔除分流管時,8例成功拔除。总体而言,国外小儿神經外科醫生對于蛛网膜囊的治疗很少首选囊肿腹腔分流手术。,与国际上多数小儿神經外科醫生的选择不壹样,国内诸多醫院由于没有神經内镜、開颅手术有壹定的并发症或其他原因,對蛛网膜囊肿的治疗首选囊肿-腹腔分流术。,囊肿腹腔分流手术,近国内文献倡导采用低压壹般分流管,可以很快到达囊肿明显缩小甚至消失,缩小或消失比率高达95,遠遠高于開颅手术或内镜造瘘手术,影像學上及近期手术效果极佳,囊肿腹腔分流术的遠期并发症,分流管的梗阻、断裂、良性颅内压增高、裂隙脑室综合征、分流管依赖综合征等,尤其是分流管依赖综合征更為严重,對患儿的威胁也最大,分流管依赖,1、患儿体現為在囊肿基本消失後的六個月至10余年(平均為6年),逐渐反复出現頭痛、呕吐、眼胀,初期持续時间很短,每周间断发作,此後发作逐渐频繁,每曰发作多次,每次持续時间從数分钟直至数小時,後期頭痛剧烈,,2、腰椎穿刺压力明显增高,眼底像显示视乳頭水肿,CT及MRI显示裂隙样脑室。颅内压监测显示為持续高颅压,最高压力可达90100mmHg11。,此类患者基本為采用低压管分流治疗蛛网膜囊肿术後数年甚至达,神經影像往往已經看不到蛛网膜囊肿,患者多就诊于神經内科,常被误诊為“静脉窦闭塞”、“良性颅内压增高”等而延误治疗,個别患者甚至由于严重的颅内压增高、视乳頭水肿而失明。,分流管依赖患者的治疗,目前极為棘手,其中裂隙样脑室行脑室腹腔分流手术极為困难,即便在大的神經外科中心可以在导航下行裂隙脑室-腹腔分流术,虽临時可以处理問題,但後期再出現分流管梗阻症状仍然會复发;,腰大池腹腔分流遠期出現小脑扁桃体下疝的比率极高。壹旦裂隙样脑室腹腔分流管後期再次梗阻,腰大池腹腔分流出現了小脑扁桃体下疝,将再無有效的治疗措施,對于醫生及患者而言都将是劫难性的。,总結,對無症状者以長期随诊观测為主,选择手术治疗应极為谨慎;,對有症状者应谨慎选择手术方式,囊肿-腹腔分流手术虽然具有最佳的囊肿缩小率及消失率,且具有简朴、高效、并发症少的長处,但必须要正视其潜在分流管依赖的高風险;,開颅囊肿開窗术及内镜囊肿造瘘术,尽管囊肿消失率及缩小率较低,但可防止遠期的分流管依赖。,對有症状者应谨慎选择手术方式,囊肿-腹腔分流手术虽然具有最佳的囊肿缩小率及消失率,且具有简朴、高效、并发症少的長处,但必须要正视其潜在分流管依赖的高風险;,開颅囊肿開窗术及内镜囊肿造瘘术,尽管囊肿消失率及缩小率较低,但可防止遠期的分流管依赖。,蛛网膜囊肿的治疗方式争议仍在。,
展开阅读全文

开通  VIP会员、SVIP会员  优惠大
下载10份以上建议开通VIP会员
下载20份以上建议开通SVIP会员


开通VIP      成为共赢上传

当前位置:首页 > 行业资料 > 医学/心理学

移动网页_全站_页脚广告1

关于我们      便捷服务       自信AI       AI导航        抽奖活动

©2010-2025 宁波自信网络信息技术有限公司  版权所有

客服电话:0574-28810668  投诉电话:18658249818

gongan.png浙公网安备33021202000488号   

icp.png浙ICP备2021020529号-1  |  浙B2-20240490  

关注我们 :微信公众号    抖音    微博    LOFTER 

客服